THAY KHỚP HÁNG NHÂN TẠO BẰNG KỸ THUẬT SUPERPATH
Hỏng khớp háng là bệnh lý thường gặp trong chấn thương chỉnh hình, làm ảnh hưởng tới khả năng đi lại, sinh hoạt và lao động của người bệnh. Hỏng khớp háng có nhiều nguyên nhân khác nhau: tiêu chỏm xương đùi, thoái hóa khớp háng, gãy cổ xương đùi, lao khớp háng, lupus, viêm khớp dạng thấp, viêm cột sống dính khớp,…

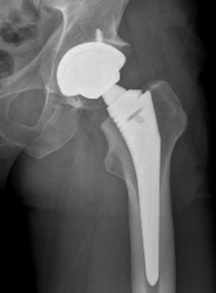
Thay khớp háng nhân tạo là phẫu thuật thay thế xương vùng khớp háng bị hỏng bằng khớp nhân tạo, đây là một tiến bộ lớn của ngành chấn thương chỉnh hình giúp người bệnh cải thiện khả năng đi lại, sinh hoạt và lao động hàng ngày.
Thay khớp háng nhân tạo bằng kỹ thuật Superpath là phẫu thuật mới với đường mổ nhỏ, xâm lấn phần mềm tối thiểu (không cắt khối cơ chậu hông mấu chuyển) nên bệnh đỡ đau, giảm mất máu, phục hồi chức năng thuận lợi nên bệnh nhân sớm trở lại với cuộc sống hàng ngày.
* Chỉ định thay khớp háng bằng kỹ thuật SuperPath:
- Tiêu chỏm xương đùi (hoại tử vô khuẩn chỏm xương đùi): là bệnh lý hoại tử tế bào xương dưới sụn do thiếu máu, được thay khớp với độ 3, độ 4.
- Thoái hóa khớp háng: do tổn thương sụn bề mặt chỏm xương đùi và ổ cối, mức độ biến dạng nhẹ và vừa.
- Gãy cổ xương đùi: thay khớp với bệnh nhân loãng xương gãy cổ xương đùi, hoặc lớn tuổi.
* Ưu nhược điểm của kỹ thuật:
– Đường mổ nhỏ (khoảng 6cm).
– Kỹ thuật xâm lấn phần mềm tối thiểu: không cắt hệ thống gân cơ chậu hông mấu chuyển, chỉ mở nhỏ bao khớp phía trên, giảm đau đớn cho bệnh nhân, phục hồi sớm; giảm tỷ lệ trật khớp sau mổ so với các kỹ thuật mổ truyền thống.
– Cấu trúc khớp nhân tạo với lớp phủ nhám và hình ảnh ở bề mặt chuôi và ổ cối nhân tạo dẫn tới hình thành liên kết vững chắc giữa xương và khớp nhân tạo, làm tăng độ bền và tuổi thọ của khớp. Bên cạnh đó cấu trúc khớp với cổ chuôi dạng module với chiều dài, góc nghiêng và ngả trước khác nhau giúp đảm bảo chiều dài chi, góc cổ thân và hạn chế tỷ lệ trật khớp háng nhân tạo.

Tuy vậy, kỹ thuật thay khớp háng Superpath đòi hỏi thực hiện tại bệnh viện chuyên sâu với đội ngũ phẫu thuật viên được đào tạo bài bản, dụng cụ phẫu thuật và hệ thống trợ cụ, thiết bị hỗ trợ đầy đủ.
Kỹ thuật khó thực hiện với bệnh lý tổn thương khớp háng biến dạng nhiều: thoái hóa nặng, dính khớp háng, thiểu sản khớp háng… Do vậy, việc lựa chọn phương pháp mổ, loại khớp phù hợp với từng cá thể rất quan trọng, hạn chế biến chứng, di chứng cho người bệnh.
* Phục hồi chức năng và khả năng đi lại của bệnh nhân:
Là kỹ thuật xâm lấn tối thiểu, không cắt cơ xung quanh mà chỉ cắt bao khớp phía trên nên bệnh nhân đau ít, khớp vững nên bệnh nhân được tập phục hồi chức năng sớm: gấp duỗi thụ động ngay sau mổ, ngồi dậy và tập đi với khung hỗ trợ sau 1-2 ngày, đi lại tốt sau 3-4 tuần với biên độ vận động khớp háng gần như tối đa. Đồng thời, bệnh nhân được ra viện sớm, rút ngắn thời gian điều trị nội viện, giảm chi phí cho bệnh nhân. Hiện nay, tại khoa Chấn thương Chỉnh hình, Bệnh viện Đồng Nai -2, kỹ thuật Superpath đã được thực hiện thường quy mang lại kết quả tốt cho người bệnh.

Bệnh viện Đồng Nai -2 là địa chỉ thăm khám, phòng ngừa và điều trị các bệnh lý về chấn thương uy tín hàng đầu. Để tìm hiểu thêm về thông tin bệnh lý và nhu cầu chăm sóc sức khỏe vui lòng liên hệ Fanpage Bệnh viện hoặc Tổng đài CSKH 1900 5199.